疾患・症状 疲労骨折とは何か?起こる原因と部位、予防法など 疲労骨折という言葉を耳にしたことはありますか? 骨折というと骨がポッキリ折れてしまうことをイメージするかもしれませんが、疲労の積み重ねによって起こる場合もあります。肘部管症候群 テニス肘(上腕骨外側上顆炎) 肘内障 上腕骨顆上骨折 野球肘 変形性肘関節症 前骨間神経麻痺・後骨間神経麻痺 尺骨神経麻痺上腕骨外顆骨折は肘の外側のくるぶしに起こる骨折で、幼少期の骨折の中では上腕骨顆上骨折と同じぐらいの頻度で遭遇する骨折です。 症状 肘の外側のくるぶし(上腕骨外側顆)に圧痛・腫脹・皮下出血が見られ、肘の屈伸や前腕の回旋運動により疼痛
痛みの話q A 八王子整形外科 西八王子駅近くの整形外科専門クリニック
肘 骨折 症状
肘 骨折 症状- まず、今回の場合は剥離骨折の診断でレントゲン画像を写メでとってきており、見せてくれました。 今度は当院で超音波画像(エコー)にて肘の内側の症状がどのようになっているのか?炎症の度合いは?筋肉や靭帯の 損傷度合いを確認 します。 肘の骨折について 神奈川県藤沢市の整形外科 藤沢駅前 順リハビリ整形外科 お問い合わせ 医師2人体制で診療に当たっております。 土曜午後、日祝、年末年始を除き、 お盆なども休みなく診療を行っております。 インターネットでの予約で、希望の




肘部疼痛原因 类风湿性关节炎及更多 Zimmer Biomet 万搏体育官网
肘の痛みの原因は上腕骨外上顆炎や肘部管症候群、変形性肘関節症などの病気が考えられます。原因に応じて最適な治療を行います。 主な症状を記載しますので、当てはまる方は疾患名をクリックしてご覧ください(例外もございます)。 上腕骨外上顆炎(テニス肘) 手首を動かすと肘の外側医師は患者に何が起きたのか、また、どんな症状が出ているかを尋ねます。さらに肘も診察します( 診断 診断 骨折は、骨がひび割れたり折れたりすることです。 ほとんどの骨折の原因は、骨に力がかかお気軽にご来院下さい。 首、腰や関節の慢性痛や慢性的な手足のシビレなど急を要さない症状での受診は可能であれば整形外科医がひざ・足の症状 (痛み・しびれ・違和感) 捻挫・外傷・創傷・骨折の 治療について;
症状 显示在肘骨折可以以下功能: 尖锐的稳定疼痛,让手腕和手的存在。 四肢或其完全瘫痪的活动受限。 不健康的,不寻常的在横向方向上在肘关节人口流动臂,例如。 水肿的发生,血肿形成发绀,皮下瘀伤。 神经系统症状麻木的手指和 手腕, 刺痛前臂。 今回は、 骨にひびが入ったときの症状や治療方法・完治期間、そもそもの原因 など、気になる情報について見ていきます。 骨折というとかなり危険な状態であることは想像できるかと思います。 ですが、骨にひびと聞いても、どれくらいの状態なのか 胳膊肘骨折的症状 1 胳膊肘骨折会出现胳膊肿胀、疼痛、活动受限不能伸直或弯曲、严重的甚至胳膊畸形,能明显的摸到骨头错位等现象,这些都是胳膊肘骨折的症状,发现时候应及时去医院治疗。 2 如果经过外力发现胳膊处肿胀、疼痛先不要随便动患处,应
肘の痛みの原因とその治療法 第102回 よくある肘の病気やケガ~ダイジェスト版! 肘の痛みの原因とその治療法 稲垣 克記 先生 昭和大学病院 診療科長 主任教授/昭和大学病院附属東病院 院長 ドクター プロフィール 日本整形外科学会整形さらに肘と鎖骨も診察します( 骨折の概要 診断)。 様々な角度から肩関節のX線検査を行い、骨折の有無を確認します。 X線検査の結果がはっきりしない場合は、CT(コンピュータ断層撮影)検査を 今回は「肘をぶつけて曲げると痛い! 折れてる? 折れてない? の判断はこれ! 」ということでお話ししたいと思います。 というような症状がぶつけた直後に出ている時は、骨折を疑うべきでしょう。 ですが、 多くは打撲 になります。 患部に痛みが




Corr 张力带治疗横行尺骨鹰嘴骨折长期效果好 Medsci




孟氏骨折概述 病因 诊断 治疗 预防 微医 挂号网
1 胳膊肘骨折会出现胳膊肿胀、疼痛、活动受限不能伸直或弯曲、严重的甚至胳膊畸形,能明显的摸到骨头错位等现象,这些都是胳膊肘骨折的症状,发现时候应及时去医院治疗。 2 如果经过外力发现胳膊处肿胀、疼痛先不要随便动患处,应肘の骨折 暁の星を掴み取れ 肘 骨折 症状




新院区运行 骨科病院创伤中心成功开展肘关节复杂骨折复位内固定术 樊大爷



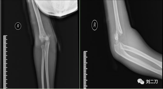
肱骨髁上骨折中医治疗及其康复训练 刘二刀 微信公众号文章阅读 Wemp



青枝骨折症状描述 症状起因 症状诊断 鉴别 症状检查 治疗 预防 求医网




腾讯医典 桡骨头骨折多久能好 热啊网




运动康复科普 肘关节损伤的常见类型与急性处理方法 知乎



常见四肢骨折都有什么症状表现 长春骨伤医院




尺骨鹰嘴骨折的手术治疗 克氏针 软组织 骨块 网易订阅




上腕骨遠位端骨折の症状 診断 治療 骨 筋肉 関節の病気 All About




手腕疼痛不适 手部受伤最常见的三大类型 扭伤 骨折 关节脱位 大纪元




手臂疼痛你不知道的事 答案都在这里 关节 肌肉 肘部 肌腱 软组织 网易订阅



桡骨头骨折的症状和体征 腾讯网



胳膊肘骨折的症状 图片欣赏中心 急不急图文 Jpjww Com



肘外侧肿痛及功能障碍 肱骨




什么是尺骨沟夹板 Ulnar Gutter Splint Iiiff互动问答平台



肘部骨折 问上医



肘关节脱位 A 医学百科



小腿骨折 问上医




手腕骨折手术 老年人跌倒 新加坡经验丰富的骨质疏松外科医生



新华康复科普第174篇 非同小可的儿童肱骨髁上骨折 上海新华医院康复医学科 微信公众号文章阅读 Wemp



肱骨髁上骨折小儿肱骨髁上骨折的症状是什么 妈妈网



张接骨张力中医医院



儿童手肘骨折手术后对手部功能有何影响 时习社区




骨折後遺症關節卡卡伸不直 骨科 復健 健康百科 元氣網



髌骨骨折的治疗策略 浩天康复



尺骨冠状突骨折怎么治疗 快速问医生



疾病诊断 肘关节脱位




劳动报 职工健康 肘关节僵硬能治好吗



肘部的肿胀压痛 肘部的肿胀压痛的治疗 肘部的肿胀压痛的原因 肘部的肿胀压痛怎么办 症状百科




运动康复科普 肘关节损伤的常见类型与急性处理方法 知乎



肱骨小头骨折 国友堂中医院骨科




肘部常见疾病的诊断与治疗骨科




骨折还是脱臼 损伤还是扭伤 优1周 Uweekly




头条文章




7种扭伤的脚踝治疗 以及症状和危险因素 健康 21



1




骨哥小教室 認識肘部骨折 骨哥論壇



胳膊肘骨折症状图片 搜狗图片搜索



痛みの話q A 八王子整形外科 西八王子駅近くの整形外科専門クリニック




手骨折症状 诊断和治疗




手骨折症状 诊断和治疗



桡骨颈骨折的症状治疗方法临床表现预防用药 蜘蛛网 疾病百科



骨科手术早知道 手指麻痛当心肘管综合征 太原新闻网 太原日报报业集团 太原日报报业集团



科普 手麻不一定都是颈椎病 也有可能是因为这个 自由微信 Freewechat



沈阳市骨科医院浑南分院 沈阳市骨科医院 沈阳骨科 沈阳康复医学科 沈阳运动医学科 沈阳创伤骨科 沈阳软伤科



肘部的肿胀压痛 肘部的肿胀压痛的治疗 肘部的肿胀压痛的原因 肘部的肿胀压痛怎么办 症状百科




内反肘 上腕骨顆上骨折後変形治癒 ゆうき鍼灸接骨院




鹰嘴骨折 肘部骨折 疾病 21



Chia Wei Lin Md 林佳緯醫師 手肘粉碎性橈骨頭骨折的治療 Treatment For Mason Iii Radial Head Fracture



胳膊肘骨折的症状 图片欣赏中心 急不急图文 Jpjww Com



骨病早知道 什么是关节内骨折 有哪些症状 沈阳市骨科医院浑南分院




创伤 陈旧外髁骨折怎么办



肘部的肿胀压痛是由什么原因引起的 快速问医生



手肘骨折后睡觉图 万图壁纸网




运动康复科普 肘关节损伤的常见类型与急性处理方法 知乎




肘部疼痛原因 类风湿性关节炎及更多 Zimmer Biomet 万搏体育官网




桡骨小头骨折多是外力因素导致 症状主要是发烧 以及伸直型骨折 每日头条



尺骨骨折有有什么症状尺骨骨折三个症状常见 快速问医生




看过来 骨伤都有哪些症状 健康频道 手机搜狐




儿童肘关节骨折怎么办 每日头条




鷹嘴突症候群 常見的肘部骨折 桃園振雄診所




汇总 110种骨科常用鉴别诊断 收藏慢慢看吧 关节 骨折 髋关节 腰椎 滑囊 网易订阅



手指麻木迟钝 爪形手畸形 遇到 肘管综合征 莫惊慌 手外科 徐州仁慈医院 徐州仁慈医疗集团



肘关节脱位的症状及治疗方法介绍 骨大夫




如果孩子骨折后出现肘内翻或肘外翻 需不需要治疗 小儿骨折 治疗方法 症状




运动康复科普 肘关节损伤的常见类型与急性处理方法 知乎




了解症状 肱骨外髁骨折介绍 疾病百科 百科名医




如果孩子骨折后出现肘内翻或肘外翻 需不需要治疗 小儿骨折 治疗方法 症状




手腕疼痛不适 手部受伤最常见的三大类型 扭伤 骨折 关节脱位 大纪元



张接骨张力中医医院




小児上腕骨顆上骨折 一般社団法人 日本骨折治療学会 骨折の解説




断腕 Colles Fracture 症状 治疗 恢复 一对z 指南 21




肘外翻畸形怎么矫正 肱骨骨折 症状 治疗方法



跟骨骨折 跟骨骨折的症状 治疗 好评专家 疾病查询 39疾病百科



こどもの肘骨折 稲毛整形外科



您了解桡骨头骨折吗 骨筋论坛 微信公众号文章阅读 Wemp




运动康复科普 肘关节损伤的常见类型与急性处理方法 知乎



兒童肘關節骨折 醫學影像學習園地




生长板骨折 受伤和中毒 默克手册消费者版必威是哪个 必威体育网址是多少啊 必威网站简介 必威和十博哪个靠谱



尺骨鹰嘴的症状和体征 尺骨鹰嘴骨折 尺骨 骨折不愈合



尺骨鹰嘴的症状和体征 尺骨鹰嘴骨折 尺骨 骨折不愈合




上臂骨折 损伤及中毒 默克诊疗手册家庭版



撕脱性骨折 快懂百科



1




骨病早知道 什么是关节内骨折 有哪些症状 快资讯




肘頭骨折 一般社団法人 日本骨折治療学会 骨折の解説



桡骨头骨折的症状和体征 腾讯新闻




肘关节痛 可能是 高尔夫球肘 在作祟 几种最佳治疗手段消除它 快资讯




最常见的踝关节骨折类型



手肘摔伤如果骨折什么症状 39健康经验



桡骨下端骨折病因 症状与治疗 国友堂中医院骨科



儿童肘部损伤引起肘内翻畸形简介 佛山市中医院




经常遇到的肘关节损伤 治疗方法看这里 Medsci




骨折の症状 骨折ネット



胳膊肘骨折的症状 图片欣赏中心 急不急图文 Jpjww Com



1




软骨骨裂有什么症状 39健康经验




内反肘 上腕骨顆上骨折後変形治癒 ゆうき鍼灸接骨院




桡骨头骨折 搜狗百科



1




揭秘 肱骨髁上骨折 零切开 每日头条



胳膊肘骨折的症状 图片欣赏中心 急不急图文 Jpjww Com



肘関節がらみの骨折
0 件のコメント:
コメントを投稿